아름다운 미소를 만들기 위해서는 웃을 때 보이는 치아의 모양뿐만 아니라 조화로운 잇몸라인도 중요합니다. 잇몸이 비정상적으로 부풀어져 보이거나 반대로 잇몸이 얇고 퇴축되어 치아뿌리가 노출되어 있는 경우 올바로 심미 특화 치료를 통해 아름다운 미소를 찾아 드립니다.

무너진 교합이나, 비정상적인 잇몸의 형태는 심미적 불편 뿐만 아니라 구강위생 관리의 어려움이 동반될 수도 있습니다. 올바로치과는 치주과와 통합치의학과 전문의를 취득한 치과의사가 통합적인 시선으로 진단하고 치료합니다.

 를 움직여 실제 비포&에프터를 확인해보세요.

모든 치아를 대상으로 보철치료를 통해 전체적인 교합을 재형성하는 치료입니다. 어금니를 포함한 다수 치아 상실, 심한 치주염, 맞지 않는 틀니, 과도한 치아 마모, 산발적인 계획으로 인한 잘못된 보철 치료 등의 원인으로 전체 치열의 교합이 무너지고 교합, 고경을 상실한 경우에는 전악 교합 보철 치료가 필요합니다. 올바른 교합 회복을 통해 저작 기능회복 및 심미적인 보철치료가 가능합니다.


과도한 치아마모와 비대칭 부정교합으로 인해
 무너진 교합을 교합거상과 전악보철교합치료로 회복

아름다운 미소를 만들기 위해서는 웃을 때 보이는 치아의 모양뿐만 아니라 조화로운 잇몸라인도 중요합니다. 잇몸이 비정상적으로 부풀어져 보이거나 반대로 잇몸이 얇고 퇴축되어 치아뿌리가 노출되어 있는 경우 올바로 심미 특화 치료를 통해 아름다운 미소를 찾아 드립니다.

무너진 교합이나, 비정상적인 잇몸의 형태는 심미적 불편 뿐만 아니라 구강위생 관리의 어려움이 동반될 수도 있습니다. 올바로치과는 치주과와 통합치의학과 전문의를 취득한 치과의사가 통합적인 시선으로 진단하고 치료합니다.

 를 움직여 실제 비포&에프터를 확인해보세요.

모든 치아를 대상으로 보철치료를 통해 전체적인 교합을 재형성하는 치료입니다. 어금니를 포함한 다수 치아 상실, 심한 치주염, 맞지 않는 틀니, 과도한 치아 마모, 산발적인 계획으로 인한 잘못된 보철 치료 등의 원인으로 전체 치열의 교합이 무너지고 교합, 고경을 상실한 경우에는 전악 교합 보철 치료가 필요합니다. 올바른 교합 회복을 통해 저작 기능회복 및 심미적인 보철치료가 가능합니다.


과도한 치아 마모와 비대칭 부정교합으로 인해 무너진 교합을 교합 거상과 전악보철 교합치료로 회복

01-1

전악보철 교합치료

2022.10.25 ~ 2023.10.12

Before After

01-2

전악보철 교합치료

2022.10.25 ~ 2023.10.12

Before After

맞지 않는 틀니로 인해 무너진 교합을 원가이드를 통한 어금니 임플란트를 동반하여 교합 거상과 심미보철로 치료한 증례 

맞지 않는 틀니로 인해 무너진 교합을 원가이드를 통한
 어금니 임플란트를 동반하여 교합거상과 심미보철로 치료한 증례 

02-1

전악보철 교합치료

2021.12.06 ~ 2022.10.28

Before After

02-2

전악보철 교합치료

2021.12.06 ~ 2022.10.28

Before After

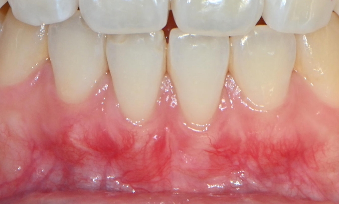
선천적으로 얇은 잇몸, 잇몸의 두께를 고려하지 않은 교정 치료, 잇몸의 염증 등으로 인해 잇몸이 퇴축하여 치아 뿌리가 드러난 경우에는 치아의 길이 가 길어 보이며 치아 수명이 줄어들어 시린 증상이 발생하기도 합니다. 노출된 치아 뿌리 위에 잇몸을 이식하여 잇몸이 퇴축하기 전의 상태로 회복시키는 시술입니다.


선천적으로 얇은 잇몸, 잇몸의 두께를 고려하지 않은 교정 치료, 잇몸의 염증 등으로 인해 잇몸이 퇴축하여 치아 뿌리가 드러난 경우에는 치아의 길이가 길어 보이며 치아 수명이 줄어들어 시린 증상이 발생하기도 합니다. 노출된 치아 뿌리 위에 잇몸을 이식하여 잇몸이 퇴축하기 전의 상태로 회복시키는 시술입니다.


교정 치료 후 아래 앞니 각도 이상으로 인해 발생한
 잇몸 퇴축, 부분 교정을 통한 각도 수정을 동반한 증례

03-1

잇몸 이식

2021.04.26 ~ 2024.03.25

Before After

03-2

잇몸 이식

2021.04.26 ~ 2024.03.25

Before After

04

잇몸 이식

2023.05.09 ~ 2024.01.25

선천적으로 얇은 잇몸, 교정 치료 후 2년째 발생한 단일 잇몸 퇴축

Before After

05

잇몸 이식

2014.12.22 ~ 2015.09.30

앞니 아래에 발생한 심한 잇몸 퇴축으로 인해서 치근단 염증까지 발생했던 증례

Before After

잇몸이 너무 많이 보이거나 잇몸 라인이 비대칭적인 경우 활짝 미소 짓기 망설여지곤 합니다. 잇몸 성형을 통해 자연스럽고 이상적인 잇몸 라인을 만들어 아름다운 미소를 되찾아 드립니다.


잇몸이 너무 많이 보이거나 잇몸 라인이 비대칭적인 경우 활짝 미소 짓기 망설여지곤 합니다. 잇몸 성형을 통해 자연스럽고 이상적인 잇몸 라인을 만들어 아름다운 미소를 되찾아 드립니다.


06

잇몸 성형

2024.03.28 ~ 2024.04.27

두꺼운 잇몸으로 인한 거미 스타일, 잇몸 성형과 보톡스 치료로 해결한 증례

Before After

07

잇몸 성형

2015.08.03 ~ 2015.10.14

발치교정과 앞니의 후방 이동 후 증식한 잇몸, 치조골 삭제와 잇몸 성형을 시행한 증례

Before After

만족스러운 심미 보철 치료를 위해 환자분의 잇몸라인 뿐 아니라 성별, 나이 ,얼굴형까지도 세심하게 파악합니다. 올바로치과에서는 잇몸 성형을 동반한 심미 보철치료를 진행합니다. 가지런한 치아와 조화로운 잇몸라인이 전체적인 균형을 잡아주며 아름다운 미소를 되찾아 드립니다.


만족스러운 심미 보철 치료를 위해 환자분의 잇몸라인 뿐 아니라 성별, 나이 ,얼굴형까지도 세심하게 파악합니다. 올바로치과에서는 잇몸 성형을 동반한 심미 보철치료를 진행합니다. 가지런한 치아와 조화로운 잇몸라인이 전체적인 균형을 잡아주며 아름다운 미소를 되찾아 드립니다.


편측에만 시행된 보철물로 인한
 비대칭 잇몸라인, 잇몸 성형과 앞니 심미보철치료로 해결한 증례

08

잇몸성형 심미보철

2019.08.29 ~ 2020.10.13

Before After

예약문의

031-698-2333


오시는 길

경기도 하남시 미사강변동로 100-1 파라곤메디컬센터 5층


진료시간

월 · 목

화 · 수 · 금

토요일

일요일

점심시간 


09:30 ~ 20:30 (야간진료) 

09:30 ~ 18:30 

09:30 ~ 14:00 

10:00 ~ 14:00 

12:30 ~ 14:00

* 토 · 일 점심시간 없이 진료


주차안내

건물 내부 지하 2층 MALL1 게이트

예약문의

031-698-2333


오시는 길

경기도 하남시 미사강변동로 100-1 파라곤메디컬센터 5층


진료시간

월 · 목

화 · 수 · 금

토요일 

일요일 

점심시간

09:30 ~ 20:30 (야간진료) 

09:30 ~ 18:30 

09:30 ~ 14:00

10:00 ~ 14:00  

12:30 ~ 14:00 (토 · 일 점심시간 없이 진료)


주차안내

건물 내부 지하 2층 MALL1 게이트


진료예약


대표자: 윤형주 · 한호철 | 사업자등록번호: 164-23-01414 
경기도 하남시 미사강변동로 100-1 파라곤스퀘어 5층 
대표번호: 031 698 2333 | 팩스: 031 526 2031 
ⓒ 2021 올바로치과의원. All Rights Reserved.

  • 전화문의

  • 네이버예약

  • 한원장님
    블로그

  • 윤원장님
    블로그

  • 카톡상담

올바로치과의원 | 대표자 : 윤형주 · 한호철 | 사업자등록번호 164-23-01414 | T. 031 698 2333 | F. 031 526 2031 
경기도 하남시 미사강변동로 100-1 파라곤스퀘어 5층 올바로치과의원 
ⓒ 2021 올바로치과의원. All Rights Reserved.